お悩みチェックリスト
Check
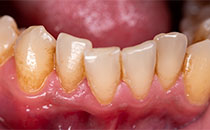
- 歯茎が赤く腫れたり、出血しやすい
- 歯茎が下がり、歯が長く見える
- 歯茎から膿が出たり、口臭が気になる
- 歯がグラグラして、噛むと違和感がある
- 歯と歯の間に隙間ができて、物が詰まりやすい
- 朝起きたときに口の中がネバつく・歯が浮く感じがする
Check
歯周病の進行
Relationship
歯周病と全身疾患の関係性について
- 肺炎
- 糖尿病
- 動脈硬化
高脂血症
高血圧

- 低体重出産
早産 - 心臓病
- 骨粗しょう症
-
タバコと歯周病
喫煙は歯周病の進行を2~9倍に悪化させる危険因子であり、
歯周治療を受けても良い効果が得られにくくなります。 -
誤嚥性肺炎と歯周病
食べ物と一緒にバイ菌などを気管に入れてしまう誤嚥性肺炎が高齢者の死亡率を高めます。お口の中を清潔に保つ事は肺炎のリスクを低くします。
-
心疾患・脳血管疾患と歯周病
歯周病は血栓を作りやすく、心内膜炎や脳卒中·脳便塞を起こす危険性は2~3倍になります。
-
糖尿病と歯周病
糖尿病は歯周病を悪化させます。歯周病が重度になると糖尿病もさらに悪化します。 歯周病の方は、内科の受診をおすすめします。
-
妊娠と歯周病
歯周病の炎症成分が子宮を収縮させるスイッチになり、 低体重児出産早産の危険性は7.5倍になります。
歯周病を防ぐ「予防歯科」
麻酔も担当できる歯科衛生士が在籍しております。
よくあるご質問
Faq
-
歯周病の初期症状にはどのようなものがありますか?
歯周病の初期段階では、痛みを感じにくいのが特徴です。「歯ぐきが赤く腫れる、歯みがき時に出血する」などの軽い症状から始まりますが、放置すると歯を支える骨が溶け、最終的には歯が抜けてしまうこともあります。 歯周病かどうかを確かめるには、歯科医院での歯周ポケット検査や出血の有無を確認してみてください。
-
歯周病はどのように治療しますか?
歯周病治療は、プラーク(歯垢)のコントロールが基本です。 まずは、歯みがき指導を通じてセルフケアを見直し、歯石の除去(スケーリング)や歯周ポケットの清掃などを段階的に行います。進行の程度によっては、外科的処置(フラップ手術など)が必要になることもあります。治療を成功させるには、継続的なメンテナンスと自宅でのケアの両立が重要です。
-
歯周病は完治できますか?
進行度によって異なりますが、初期段階であれば健康な状態に回復する可能性があります。一方、中等度以降では「完治」ではなく、進行を止めてコントロールする治療が中心になります。歯周病は慢性疾患とされており、特に糖尿病などの持病をお持ちの方は悪化しやすいため要注意です。定期的な歯科メンテナンスと生活習慣の見直しが、長期的な安定につながります。
-
歯周病におすすめの歯磨き粉はありますか?
「歯周病に1番効く歯磨き粉」というより、正しいブラッシングで汚れをきちんと落とすことが最も大切です。そのうえでおすすめする歯磨き粉は、殺菌成分(CPC、IPMPなど)や抗炎症成分が配合されたものです。また、デンタルフロス(糸ようじなど)・歯間ブラシ、人によっては電動歯ブラシの併用も効果的です。お口の状態に合った道具選びや使い方については、歯科衛生士にご相談ください。
-
歯周病は全身の病気にも関係がありますか?
歯周病は全身疾患のリスク因子として注目されています。歯周病菌が血流を通じて体内に入り、糖尿病、心臓病、脳梗塞、早産・低体重児、骨粗鬆症などのリスクを高めるといわれています。
とくに糖尿病とは相互に悪影響を与え合う関係にあり、歯周病の悪化が血糖コントロールを難しくすることも。また、糖尿病から進行する網膜症などにも影響するケースがあるため、全身の健康のためにもお口の管理が非常に重要です。
