お悩みチェックリスト
Check
- 精神的ストレス・緊張
- 睡眠時無呼吸などの睡眠障害
- 噛み合わせのズレ
- 習慣(スポーツ、集中時の癖など)
- 不適切な被せ物や詰め物
- 姿勢や枕の高さなど
Type check
歯ぎしり・食いしばりのタイプ
グラインディング

上下の歯を左右にギリギリと擦り合わせるタイプで、就寝中によく見られます。歯の表面が削れ、知覚過敏やかみ合わせの乱れ、詰め物や被せ物の破損を引き起こすことがあります。家族に「歯ぎしりの音がうるさい」と言われて気づく方も多いです。
クレンチング

無意識のうちに上下の歯をぐっと噛みしめるクセがあるタイプです。歯に強い圧力がかかるため、歯の根や顎関節にダメージを与えるだけでなく、知覚過敏や頭痛などの全身症状につながることもあります。
タッピング

上下の歯を小刻みに打ち合わせるような動きが特徴です。軽い接触の繰り返しで目立ちにくいですが、放置し続けることで、歯に小さなヒビが入ったり、エナメル質が摩耗することがあります。
About bite
噛み合わせについて
噛み合わせは、私たちが思っている以上に多くの方にズレがみられることが研究でも分かっています。「噛み合わせが悪い=歯並びが悪い」と思われがちですが、実際には歯並びだけの問題ではありません。例えば、「上下の歯がしっかり当たっていない」「中心で噛めていない」「顎の位置がずれている」などが関係します。そのまま放置すると、食事のしづらさや肩こり、頭痛など、さまざまなところに影響してきます。
噛み合わせ治療の目的は、「楽に噛めること」「歯槽骨を守ること」「噛み合わせの高さを整えること」で、歯と全身の健康を守ることにつながります。
よくあるご質問
Faq
-
歯ぎしりはどうして起こるのですか?
歯ぎしりの原因は、複数の要因が考えられます。主な要因としては以下のものが挙げられます。
・精神的・身体的ストレス
・噛み合わせの不良や噛み癖がある場合
・睡眠の質の低下
ストレスや悪い噛み合わせを放置すると、「ストレス→ 噛みしめ→ 筋肉疲労→ 痛み→ さらなるストレス…」という悪循環に陥ることも少なくありません。また、日中の無意識の食いしばり(TCH:上下歯列接触癖)も、夜間の歯ぎしりを悪化させる要因となります。 -
歯ぎしりを治す方法は何がありますか?
基本的には就寝児に装着する「ナイトガード」を最初に使用することが多いですが、原因と症状の程度によって異なります。症状の軽減と歯の保護を目的に、以下の方法が用いられます。
・ナイトガード(マウスピース)装着
・噛み合わせの調整
・痛み止めの服用
・ストレス管理や生活習慣の見直し
・専門外来との連携
・歯列矯正 -
歯ぎしりを放っておくとどうなりますか?
歯ぎしりや食いしばりを放置すると、徐々に口腔内だけでなく全身にも影響を及ぼす可能性があります。
[主なリスク]
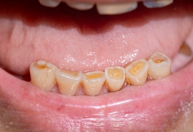
・歯のすり減り(咬耗)、知覚過敏、歯の亀裂や破折
・詰め物や被せ物、差し歯の脱落、破損
・歯周組織への過度な負担による歯槽骨の吸収
・顎関節への影響(口を開けにくい、顎がカクカク鳴るなど)
・全身症状(慢性的な頭痛や肩こり、首の痛みなど) -
歯ぎしりをすると顔が変わるって本当ですか?
長期間にわたる強い歯ぎしりや食いしばりは、物を噛むときに使う咬筋(かむ筋肉)を過度に発達・肥大化させます。その結果、エラが張ったような輪郭に見えたり、顔が大きく見えたりすることがあります。
治療によって咬筋の緊張を和らげることができれば、フェイスラインがすっきりするケースもあります。具体的には、夜間のナイトガードで筋肉の過緊張を和らげたり、専門の医療機関と連携して咬筋へのボトックス治療を行うといった方法もあります。 -
子どもの歯ぎしりはストレスが原因ですか?
子どもの歯ぎしりは、大人の場合とは異なり、必ずしもストレスだけが原因ではありません。
乳歯から永久歯への生え変わり時期(混合歯列期)における、顎や噛み合わせの成長過程の一部として見られます。一時的なものであれば心配ないことが多いですが、「歯のすり減りが激しい・顎が痛い・日中に食いしばりが多い」といった症状が見られる場合は、一度ご相談ください。

